Los reguladores sanitarios estadounidenses instaron a los médicos a dejar de recetar fármacos que contengan más de 325 miligramos por comprimido de acetaminofén (paracetamol) debido al temor de que genere ...
Los reguladores sanitarios estadounidenses instaron a los médicos a dejar de recetar fármacos que contengan más de 325 miligramos por comprimido de acetaminofén (paracetamol) debido al temor de que genere ...
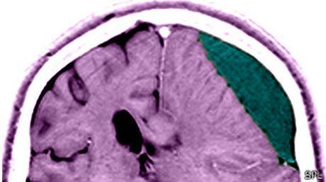
BBC Mundo / Las lesiones en la cabeza pueden dejar a las víctimas susceptibles a una muerte temprana, incluso años después, a causa de déficits de razonamiento. Esta es la ...
El tabaco afecta a casi todos los órganos del cuerpo, advirtió el viernes el Cirujano General de Estados Unidos, principal portavoz del país en materia de salud pública, en un ...
Trabajaba en una agencia de publicidad y aguantaba gracias a las bebidas energéticas. Mita Diran, de 24 años, fallece después de trabajar durante más de 30 horas sin dormir. ...
Cualquiera de nosotros es consciente de la cantidad de gérmenes que pueden penetrar en nuestras manos en el día a día de nuestro trabajo, incluso en la oficina. La limpieza ...
Las fiestas de fin de año, van acompañadas de una rica cena prevista de gran cantidad de alimentos, algunos excesos con los licores y gran variedad de postres, lo que ...
Cuando no se duerme, los científicos constataron un aumento de dos moléculas que comúnmente se asocian a lesiones cerebrales.
Unos científicos suecos de la Universidad de Uppsala acaban de esclarecer más ...


